Zdravje
Škandalozno razkritje Covid-19: Nemški vladni svetovalci so vedeli več o virusu, kot so priznavali
Tanja - 0
Razkrit je bil škandal nemške NIJZ (RKI) in politike: Interni zapisniki kažejo, da so najpomembnejši vladni svetovalci vedeli več o virusu in ukrepih, kot so...
Hitro prehranjevanje in prehranjevanje pozno zvečer in ponoči škoduje zdravju.
Kot pravi pregovor, ste to, kar jeste. Vse več dokazov pa kaže, da na vaše...
Želite imeti več energije, boljšo prebavo in lepo in mladostno kožo?
Potem boste želeli izvedeti več o schisandri, vrsti zdravilnih jagod s številnimi zdravilnimi lastnostmi,...
Raziskovalci z Baylor College of Medicine so našli več dokazov, da ima suhi post (postenje brez vnosa hrane in tekočine) od zore do mraka...
Supermodel Naomi Campbell je v novem dokumentarnem filmu odkrito in iskreno spregovorila o svoji novih težavah.
53-letna Naomi Campbell je ena izmed supermodelov, ki bodo...
Zdravje
Družba AstraZeneca po vsem svetu umika cepivo COVID-19, navaja “komercialne razloge”
Tanja - 0
Po poročanju britanskega časopisa "The Telegraph" farmacevtski gigant AstraZeneca po vsem svetu umika cepivo COVID-19, potem ko je podjetje v sodnih dokumentih prvič priznalo,...
Zdravje
Razmišljanje zdravnice: je povezava med umom in telesom pomembnejša, kot si mislimo?
Tanja - 0
Ko sedim in pregledujem izpitna vprašanja na medicinski fakulteti, zadovoljna, da še vedno poznam odgovore, razmišljam, zakaj se mi zdaj zdi, da vse redkeje...
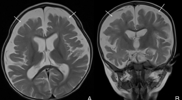
Zdravje
Možganska atrofija pri dojenčku vegetarijanske matere zaradi pomanjkanja vitamina B12
Tanja - 0
V razvitih državah se pomanjkanje vitamina B12 (kobalamina) običajno pojavi pri dojenih otrocih, katerih matere so vegetarijanke ali veganke, kar povzroči nizke zaloge vitamina...
Ženske poročajo o nepričakovanih nosečnostih med jemanjem zdravila za hujšanje – tudi če so se pred tem spopadale z neplodnostjo ali so celo uporabljale...
Profesorica je razkrila, da je uživanje mesa nujno za duševno zdravje, saj veganska hrana ne vsebuje ključnih hranil, ki so potrebna za vzdrževanje nevrotransmiterjev.
Dr....














































